+918043692696
Currently it only shows your basic business info. Start adding relevant business details such as description, images and products or services to gain your customers attention by using Boost 360 android app / iOS App / web portal.

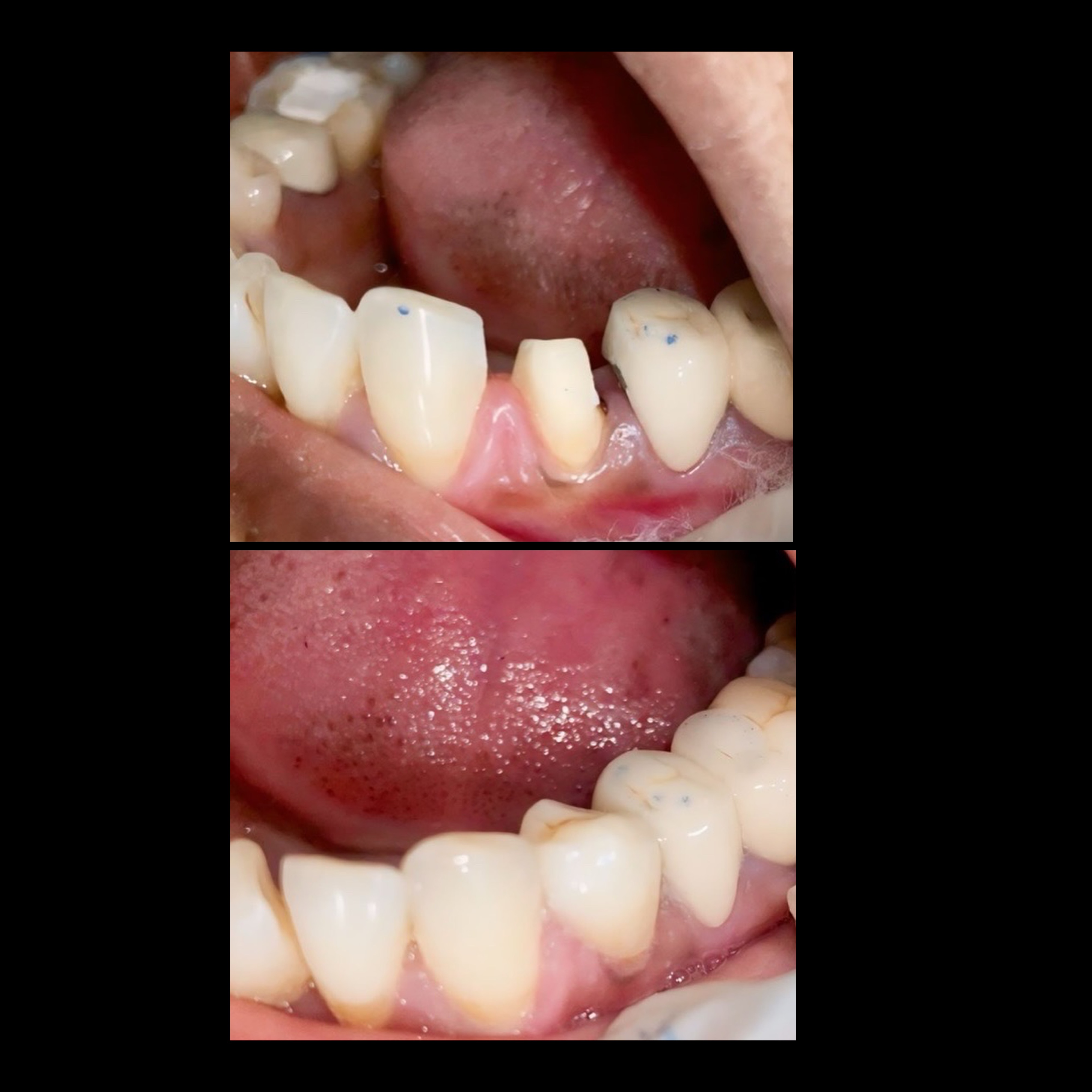
Here we are with another excellent shade match ! @ DHAANYA’S DENTAL CLINIC IN MOGAPPAIR ! RCT , implants , post and core and many more at your locality ! That to for affordable prices ! Take care of your oral health with us . - DHAANYA’S and team.