+918043692696
Currently it only shows your basic business info. Start adding relevant business details such as description, images and products or services to gain your customers attention by using Boost 360 android app / iOS App / web portal.

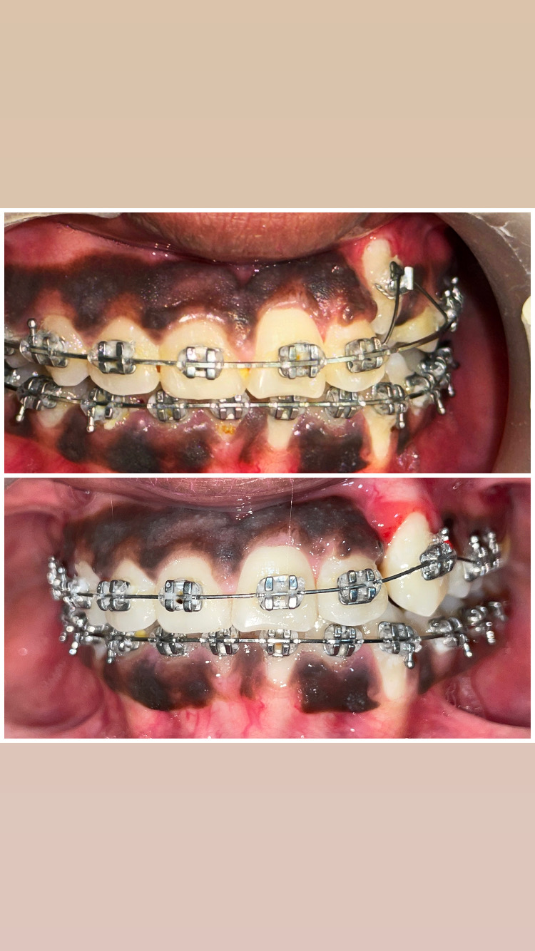
Transform Your Smile with Orthodontics ! See the magic of orthodontics extruding the impacted canine in place for a perfect smile ! Dear readers, A beautiful, straight smile is within your reach, thanks to the advanced orthodontic treatments we offer at DHAANYA’S dental clinic . Orthodontics is more than just about aesthetics—properly aligned teeth can improve your oral health, boost your confidence, and enhance your overall well-being. If you've been thinking about orthodontic treatment, now is the perfect time to take the first step toward a healthier, more beautiful smile. We're here to answer any questions you may have and to help you explore the best options for you. We look forward to helping you achieve the smile you've always dreamed of! Warm regards, DHAANYA’S and team